? 关节炎(Arthritis)
? 肌萎缩性脊髓侧索硬化症(Amyotrophic Lateral Sclerosis, ALS)
? 银屑病(Psoriasis)
? 特应性皮炎(Atopic Dermatitis, AD)
? 炎症性肠病(Inflammatory Bowel Disease, IBD)
01 胶原诱导的关节炎模型
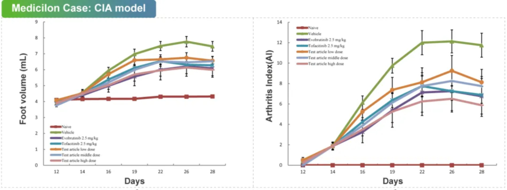
类风湿性关节炎(Rheumatoid Arthritis, RA)动物模型对于研究体内RA的发病机制和评价抗RA药物的疗效至关重要。
胶原诱导的关节炎(Collagen Induced Arthritis, CIA)与人类类风湿关节炎具有共同的免疫学和病理学特征,因此被广泛应用于致病机理和新药药效的研究。Ⅱ型胶原蛋白(CⅡ)能够免疫诱导易感啮齿动物和非人灵长类动物体内产生关节炎性质的自身免疫反应。
此外,CIA的易感性也与RA相似,和主要组织相容性复合体(Major Hhistocompatibility Complex, MHC)的Ⅱ类分子有关。免疫反应的特点是:刺激胶原特异性T细胞,产生针对性免疫抗原(异源CⅡ)和自身抗原(小鼠或大鼠CⅡ)的高滴度特异性抗体。
02 完全弗氏佐剂诱导的关节炎模型
类风湿性关节炎(RA)是一种慢性进行性的炎症性关节炎。完全弗氏佐剂(Complete Freund’s Adjuvant, CFA)诱导的关节炎模型能够表现出伴有全身性改变的持续性炎症,以及滑膜增生、角膜翼、耳部和尾部出现“关节炎”结节等,与人类关节炎有多种相似之处,因此是一个非常适合用于发病机理的研究和新药药效评价的模型。
CFA是由石蜡油和二缩甘露醇一油酸与热灭活结核分枝杆菌混合而成的混合乳液,在啮齿类动物的爪部皮下注射或腹腔注射,从而诱导动物多器官的免疫炎症反应。
CFA诱导的大鼠关节炎(Adjuvant Induced Arthritis, AIA)应用广泛,对研究炎症过程的病理、生理和药理作用,以及评估药物的镇痛潜力或抗炎作用具有重要意义。
03 尿酸钠诱导的痛风性关节炎模型
痛风性关节炎(Gouty Arthritis, GA)的主要特征是:尿酸钠(Monosodium Urate, MSU)晶体在关节周围组织沉积,刺激关节,引起关节滑膜及周围组织病损及炎症反应。临床中,痛风的发病伴随着关节周围组织或关节的触痛、红斑、发红、肿胀、疼痛和发热。
目前,GA发作与缓解的具体机制尚未明确,但研究人员普遍认为,关节部位析出的MSU晶体是造成痛风性关节炎的关键化学物质。MSU晶体能够诱发自身免疫及炎症反应,国际上常被用于诱导急性痛风性关节炎模型,已被广泛应用于药理、药效等方面的研究。
04 实验性自身免疫性脑脊髓炎模型
多发性硬化症(Multiple Sclerosis, MS)是一种中枢神经系统(Central Nervous System, CNS)的炎症性疾。笛樾宰陨砻庖咝阅约顾柩祝‥xperimental autoimmune encephalomyelitis, EAE)是MS最常见的动物模型之一。
MS导致的免疫系统攻击会使髓鞘受损,干扰神经传导,进而导致一系列症状,包括视力受损、肌肉无力、协调能力缺失和认知功能障碍。其特征是神经炎症及伴随的脱髓鞘和轴突变性。
在EAE小鼠模型中,通过诱导自身免疫反应,使得T细胞和单核细胞浸润进入中枢神经系统,导致轴突的去髓鞘化,进而引起神经传导障碍和进行性后肢瘫痪,能够模拟MS的病理特征与疾病进展。
此外,EAE常被用作细胞介导的器官特异性自身免疫疾病模型。EAE还具有复杂的神经药理学,许多用于MS药物都是在EAE模型的基础上开发、测试、验证的。
05 咪喹莫特诱导的银屑病模型
银屑病是一种慢性炎症性皮肤。胱陨砻庖吖δ芪陕业榷嘀钟找蛴泄。银屑病会导致皮肤成分的改变,目前普遍认为银屑病是一种免疫细胞及免疫相关细胞共同介导的炎症性皮肤病。
咪喹莫特(Imiquimod, IMQ)诱导的小鼠模型是受到广泛认可的银屑病类动物模型之一。IMQ是Toll样受体(TLR)7/8的配体。由于TLRs分布于巨噬细胞、单核细胞和浆细胞样树突细胞(pDC)上,因此IMQ能够强烈激活免疫系统。局部使用IMQ可诱导银屑。芄唤虾玫啬D馊死嘁疾⊙钠に鸨硐,并一定程度地存在与银屑病相似的固有免疫和获得性免疫紊乱,可用于研究银屑病潜在机制和评估新疗法。
06 IL-23诱导的小鼠耳廓银屑病模型
IL-23(白细胞介素-23)是一种异源二聚体细胞因子,由p19亚基(IL-23独有)和p40亚基(与IL-12共享)通过二硫键连接形成。IL-23/Th17通路是银屑病的主要致病通路。IL-23能够促进Th17细胞的分化,产生IL-17A、IL-17F及IL-22等细胞因子,从而导致角质形成细胞异常分化和炎症。其中,IL-23/IL-17A通路在银屑病中起着至关重要的作用。
IL-23注射模型的优势在于使用单一细胞因子,并且这种细胞因子在银屑病中引发炎症的作用已得到证实。经皮内注射IL-23可以诱导小鼠产生银屑病样皮肤病变,建立便捷且成本较低,被广泛用于人类银屑病研究。
07 佛波酯诱导的急性湿疹样模型
特应性皮炎(Atopic Dermatitis, AD)的诱因复杂多样,其临床表现包括皮肤干燥、湿疹样皮损(包括红斑、渗出和结痂、苔藓样变等)以及剧烈瘙痒等等。如不加以控制,这些炎症反应可能会转变为更难以解决的疾病。
目前,糖皮质激素、非甾体抗炎药等是控制炎症的首选。但类固醇药物使用不当,会伴随一定程度的副作用。所以,开发治疗炎症的新方法具有重要的临床意义。
在筛选潜在抗炎药物时,佛波酯诱导的小鼠模型可以较好地还原炎症反应,常被用于研究抗炎药物在无菌性炎症中的药效。此外,佛波酯也常用于建立急性湿疹样模型。
08 DNFB诱导的亚急性湿疹样模型
在特应性皮炎(AD)研究中,科研人员曾尝试通过粉尘螨(Dermatophagoides farinae, Df/Derf)作为过敏原建立AD小鼠模型。但在BALB/c小鼠身上表皮涂抹Df提取物(DfE)并没有诱导出现典型的皮损反应。
2,4-二硝基氟苯(Dinitrofluorobenzene, DNFB)是一种能导致小鼠接触性皮炎的常见单体,能与皮肤组织蛋白结合成为完全抗原,激活T淋巴细胞,引发过敏反应。DNFB引发的皮肤功能障碍可能是增强DfE对小鼠皮肤影响的一种方法。
交替使用DNFB和Df刺激皮肤,可诱导BALB/c小鼠产生与人类AD相似的Th2型皮肤炎症。这种模型对研究AD的发病机制和开发新型治疗药物很有价值。
09 DNFB诱导的慢性特应性皮炎模型
DNFB常被用来建立小鼠特应性皮炎(AD)模型,随着造模过程呈现皮肤干燥脱屑、红斑等慢性改变,与人类AD皮损变化相似。
通过DNFB反复刺激可以建立慢性特应性皮炎模型,诱导AD样皮炎、组织学变化以及表皮屏障功能障碍,研究剧烈瘙痒和复发性皮损等问题。
10 TNBS诱导的大鼠溃疡性结肠炎模型
炎症性肠。↖nflammatory bowel disease, IBD)是一种慢性肠道炎症性疾病,包括克罗恩。–rohn's Disease, CD)和溃疡性结肠炎(Ulcerative Colitis, UC),目前发病机制尚不明确,主要与免疫系统异常、大量细胞浸润有关,包括CD4+ T淋巴细胞、肥大细胞、中性粒细胞和嗜酸性粒细胞数量增加。这些免疫反应会引起炎症、溃疡、水肿、腹泻(黏液便和/或脓血便)、发烧和胃肠蠕动障碍。临床还没有针对IBD的药物,目前的主要治疗方法是延缓疾病进展。
IBD动物模型能够表现出人类CD和UC的某些病/生理特征,包括体重减轻和腹泻,伴有血便和/或粘液便、发热、结肠缩短、隐窝异常、胃蠕动障碍和炎症细胞浸润等。
2,4,6-三硝基苯磺酸(TNBS)诱导的模型适用于小鼠和大鼠。TNBS大鼠溃疡性结肠炎是一种以CD4+ T淋巴细胞浸润为特征的Th1型炎症,与人类CD和UC具有相同的特征。
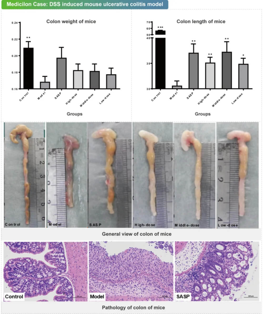
11 葡聚糖硫酸钠诱导的小鼠溃疡性结肠炎模型
葡聚糖硫酸钠(Dextran sulphate sodium, DSS)是一种水溶性、带负电荷、分子量可变的硫酸化多糖。由于DSS对结肠上皮细胞有毒性,可能导致粘膜屏障功能受损,因此给小鼠饮用DSS可以引起类似人类克隆恩氏病的全结肠病症。
DSS结肠炎模型经济、简便,可大量重复建立,在IBD研究中非常流行。通过改变DSS的浓度和饮用频率,可以建立急性、慢性和复发性肠炎模型。
参考文献:
[1] Jing Luan, et al. Applicability and implementation of the collagen-induced arthritis mouse model, including protocols (Review). Exp Ther Med. 2021 Sep;22(3):939. doi: 10.3892/etm.2021.10371.
[2] Xin Cui, et al. Evaluation of antiarthritic activity of nimbolide against Freund's adjuvant induced arthritis in rats. Artif Cells Nanomed Biotechnol. 2019 Dec;47(1):3391-3398. doi: 10.1080/21691401.2019.1649269.
[3] Su-Hyun Shin, et al. 1-Palmitoyl-2-Linoleoyl-3-Acetyl-rac-Glycerol (PLAG) Mitigates Monosodium Urate (MSU)-Induced Acute Gouty Inflammation in BALB/c Mice. Front Immunol. 2020 Apr 24:11:710. doi: 10.3389/fimmu.2020.00710.
[4] Cris S Constantinescu, et al. Experimental autoimmune encephalomyelitis (EAE) as a model for multiple sclerosis (MS). Br J Pharmacol. 2011 Oct;164(4):1079-106. doi: 10.1111/j.1476-5381.2011.01302.x.
[5] Leslie van der Fits, et al. Imiquimod-induced psoriasis-like skin inflammation in mice is mediated via the IL-23/IL-17 axis. J Immunol. 2009 May 1;182(9):5836-45. doi: 10.4049/jimmunol.0802999.
[6] Shujing Feng, et al. An Atopic Dermatitis-Like Mouse Model by Alternate Epicutaneous Application of Dinitrofluorobenzene and an Extract of Dermatophagoides Farinae. Front Med (Lausanne). 2022 Jun 15:9:843230. doi: 10.3389/fmed.2022.843230.
[7] Benoit Chassaing, et al. Dextran sulfate sodium (DSS)-induced colitis in mice. Curr Protoc Immunol. 2014 Feb 4:104:15.25.1-15.25.14. doi: 10.1002/0471142735.im1525s104.